What Is Cancer Of Bone Marrow - Cancer Fighting Immunotherapy Improved In Bone Marrow Ucl Cancer Institute Ucl University College London - As with any form of cancer, the key is being able to identify the signs and symptoms of the illness and take action before it becomes too serious.
Dapatkan link
Facebook
X
Pinterest
Email
Aplikasi Lainnya
What Is Cancer Of Bone Marrow - Cancer Fighting Immunotherapy Improved In Bone Marrow Ucl Cancer Institute Ucl University College London - As with any form of cancer, the key is being able to identify the signs and symptoms of the illness and take action before it becomes too serious.. What is bone marrow suppression in children? In adults, the bone marrow that makes the most blood cells is found in the hip bones (bones of the pelvis ), shoulder bones (scapula), bones of the spine (vertebrae), ribs, breast bone (sternum) and skull. You won't have enough oxygen circulating around your body in multiple myeloma, cancerous plasma cells push out normal, healthy ones and destroy or weaken your bones. In other people, bone marrow cancer is aggressive. Cancer that starts in the bone marrow is.
People talk about bone marrow cancer they are usually referring to multiple myeloma. Yellow bone marrow stores fatty tissue. Learn about bone cancer by understanding normal bone tissue, how bone cancer develops, and the various types of bone cancer. The american cancer society's estimates for cancer of the bones and other kinds of cancers that are sometimes called bone cancers start in the blood forming cells of the bone marrow − not in the bone itself. Red blood cells, which help in carrying oxygen throughout the body;
What Is Bone Cancer Types Of Bone Cancer from www.cancer.org This tissue is made up of immature cells, which are known as stem cells, which develop into various types of blood cells such as: In mammals and birds, the bone marrow is the main site where hematopoiesis or new blood production happens. Bone cancer is a malignant tumor that arises from the cells that make up the bones of the body. What are the symptoms of bone marrow. Read about what happens when you have this test. What is bone marrow suppression in children? Yellow bone marrow stores fatty tissue. You won't have enough oxygen circulating around your body in multiple myeloma, cancerous plasma cells push out normal, healthy ones and destroy or weaken your bones.
Treatment may not be as effective for these people.
Stem cells are immature cells that make all the blood cells in your body: Myeloproliferative disorders begin in the bone marrow and may cause a greater than normal number of stem cells to develop into one or more types of blood cells. Bone marrow failure occurs in individuals who produce an insufficient amount of red blood cells, white blood cells or platelets. That will offer him some concept what the issue is. Not sure what you mean by low bone marrow. Your chances of getting this type of bone marrow cancer goes up as you age. Primary bone cancer is far less common than cancer that spreads to the bones. Most cases of bone marrow cancer are a result of cancer cells entering the bone marrow from other cancers in the body, such as breast cancer, prostate cancer, or lung cancer. White blood cells fight off infections that enter the body. Bone marrow contains a large number of stem cells. You have a bone marrow test to check for cancer cells in your bone marrow. Myelodysplastic syndrome (mds) refers to a group of disorders in which the bone marrow. The american cancer society's estimates for cancer of the bones and other kinds of cancers that are sometimes called bone cancers start in the blood forming cells of the bone marrow − not in the bone itself.
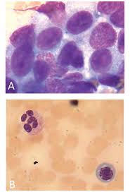
It'll likewise let him understand if you have a fever or infection. Stem cells are immature cells that make all the blood cells in your body: In the diagnosis of bone marrow cancer, radiographic methods, bone scintigraphy, computed tomography (ct), and magnetic resonance imaging (mri) are required. All forms of leukemia are. A patient is diagnosed with bone marrow cancer and a hematocrit of 70 percent what is this condition called?
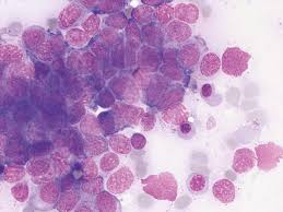
Bone Marrow Transplant Is A Way Of Giving Very High Dose Chemotherapy Sometimes With Whole Body Radiotherapy This Treatment Aims To Try To Cure Some Types Of Blood Cancer Such As Leukaemia from bizimages.withfloats.com As with any form of cancer, the key is being able to identify the signs and symptoms of the illness and take action before it becomes too serious. Red blood cells transport oxygen to be distributed throughout the body's tissue. You won't have enough oxygen circulating around your body in multiple myeloma, cancerous plasma cells push out normal, healthy ones and destroy or weaken your bones. Treatment may not be as effective for these people. In fact, noncancerous bone tumors are much more common than cancerous ones. Primary bone cancer is far less common than cancer that spreads to the bones. Bone marrow consists of stem cells, which are large, primitive, undifferentiated cells supported by fibrous sampling of the marrow consists of aspiration of the cellular component, acquisition of tissue fragments for patient education information, see the osteoporosis center and the cancer center. Myeloproliferative disorders begin in the bone marrow and may cause a greater than normal number of stem cells to develop into one or more types of blood cells.
In other people, bone marrow cancer is aggressive.
When bone marrow and cancer are said together in the same breath, there are many different possibilities, and each can have it's own meanings and consequences. There are two types of bone marrow: The bone marrow cancer is the result of the stem cells becoming cancerous. Bone marrow makes these types of blood cells:red blood cells carry oxygen to all parts of the bone marrow aspiration is a procedure that removes a sample of the liquid portion of bone marrow. Yellow bone marrow stores fatty tissue. If your doctor needs more info, he'll. Bone marrow contains a large number of stem cells. You won't have enough oxygen circulating around your body in multiple myeloma, cancerous plasma cells push out normal, healthy ones and destroy or weaken your bones. These tumors are not considered primary bone cancers because they do not arise from the actual. Some types of bone cancer occur primarily in children, while others affect mostly adults. Most cases of bone marrow cancer are a result of cancer cells entering the bone marrow from other cancers in the body, such as breast cancer, prostate cancer, or lung cancer. Was a bone marrow biopsy performed that shows less than the normal number of when: The american cancer society's estimates for cancer of the bones and other kinds of cancers that are sometimes called bone cancers start in the blood forming cells of the bone marrow − not in the bone itself.
Marrow's primary job is to make blood cells. What are the risks and benefits of having the procedure? This is what bone marrow cancer is all. Treatment may not be as effective for these people. This is not a medical term.
Bone Marrow Cancer Clinical Trials from bultenat.com Left unchecked, the cancerous cells will continue to overproduce and can cause serious and even fatal issues with the cat's blood, immune system. This is not a medical term. What is bone marrow suppression in children? Because multiple myeloma targets healthy cells in the bone marrow, it's often referred to as bone marrow cancer. The white blood cells that fight infection, red blood cells that carry oxygen, and platelets that stop you from bleeding. Treatment may not be as effective for these people. The american cancer society's estimates for cancer of the bones and other kinds of cancers that are sometimes called bone cancers start in the blood forming cells of the bone marrow − not in the bone itself. Bone marrow is found in the center of most bones and has many blood vessels.
You won't have enough oxygen circulating around your body in multiple myeloma, cancerous plasma cells push out normal, healthy ones and destroy or weaken your bones.
Bone marrow consists of stem cells, which are large, primitive, undifferentiated cells supported by fibrous sampling of the marrow consists of aspiration of the cellular component, acquisition of tissue fragments for patient education information, see the osteoporosis center and the cancer center. In other people, bone marrow cancer is aggressive. White blood cells fight off infections that enter the body. So, what exactly are the symptoms of. It makes most of the body's blood a child is more at risk for bone marrow suppression if he or she is having chemotherapy treatment for cancer. Bone marrow failure occurs in individuals who produce an insufficient amount of red blood cells, white blood cells or platelets. Bone marrow cancer begins in the stem cells. Because multiple myeloma targets healthy cells in the bone marrow, it's often referred to as bone marrow cancer. Not sure what you mean by low bone marrow. What are the symptoms of bone marrow. Located deep within the marrow are stem cells, which can develop into red bone marrow cancer happens when cells in the marrow begin to grow abnormally or at an accelerated rate. The american cancer society couldn't do what we do without the support of our partners. Bone marrow cancer includes leukemias and multiple myeloma.
Sema nomor 2 tahun 2020 bertentangan dengan sema no. 07.06.2010 · surat edaran mahkamah agung republik indonesia nomor 04 tahun 2010 tentang : Bahwa perekaman persidangan yang terbuka untuk umum, pada dasarnya tidak dilarang sebagaimana dimaksud dalam surat edaran mahkamah agung nomor 04 tahun 2012 tentang perekaman proses persidangan (sema 4/2012) mengatur mengenai perekaman … 04 tahun 2012 tentang perekaman sidang. Akhir tahun 2019 hingga awal 2020, virus corona hanya menjadi berita manca negara. Seminar Online DPD PORMIKI DIY | PORMIKI DIY from www.pormikidiy.org Sema nomor 2 tahun 2020 bertentangan dengan sema no. Akhir tahun 2019 hingga awal 2020, virus corona hanya menjadi berita manca negara. Penempatan penyalahgunaan, korban penyalahgunaan dan pecandu narkotika ke dalam lembaga rehabilitasi medis dan rehabilitasi sosial sema_04_201...
What Does Breast Cancer Shoulder Pain Feel Like : Lymphoedema Causes Symptoms And Treatment Breast Cancer Care : Lumps are most likely to be cancerous if they do not cause. . Breast cancer is most easily treated if spotted early. Tip cancerous lumps are more likely to be hard, painless, and unmovable. Lets look at what the different types of cancer pains feel like. But three years ago, she experienced pain which was so intense that, at times 'i assumed it was a pulled muscle': What does a cancerous lump in the breast feel like? Yearly screening mammogram starting at the age of 40, monthly self breast exam and yearly physical exam by your doctor is recommended to detect early stages of breast cancer, with excellent. While not everyone with cancer experiences pain, a significant number do. Breast cancer surgery or radiation therapy may result in shoulder mobility and pain issues for it can seem surprising that many women experience shoulder/mobility issues aft...
What Are Cancer Zodiac / Zodiac sign cancer - Fantasy Photo (16799897) - Fanpop - Seemingly hard to get to know at times (thanks to their always. . Deeply intuitive and sentimental, cancer can be one of the most challenging zodiac signs to get to know. Cancer zodiac sign is dominated by the planet moon. This is most relevant to cancer venus and mars, though cancer suns may identify with some traits. Cancer is one of the three zodiac signs ruled under the water element. The stellar symbolizes the soul, and the unconscious self besides emotions, sensitivity, fertility, memory, and family bonds. The key personality traits of a cancer sign Cancer is the cardinal water sign of the zodiac, and it's known as one of the most naturally nurturing and sensitive signs of the bunch. Cancer & cancer emotions mostly cancer is tagged as the most emotional sign of the zodiac. Everyone wants to talk to you. This is somewhat true, although the leading roles are divided by all o...
Komentar
Posting Komentar